Necrosis laminar cortical en paciente joven con trasplante pulmonar
Necrosis laminar cortical en paciente joven con trasplante pulmonar
Hombre | 24 años
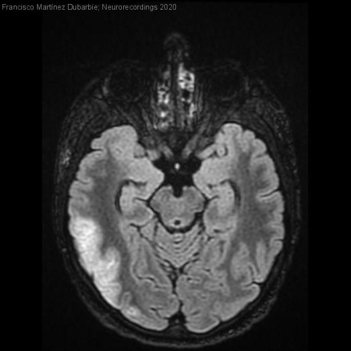
Diagnóstico final: Necrosis laminar cortical secundaria a bajo gasto cardiaco
Nivel de certeza: 




Neurología: Epilepsia | Patología cerebrovascular
Etiología: Metabólico | Autoinmune / sistémico
Francisco Martínez Dubarbie - Hospital Universitario Marqués De Valdecilla
Jorge Madera Fernández
17-Jul-2020
Resumen del caso
AP: Fibrosis quística. Diabetes mellitus tipo 1.
EA: Ingresado en Neumología por trasplante bipulmonar 14 días antes con buena evolución y en tratamiento con Tacrolimus. Presenta crisis tónico-clónica generalizada que comenzó con sensación de mareo y...
Para ver el contenido completo debe estar registrado
Haga click aquí para iniciar sesión o registrarse

El acceso a Neurorecordings está restringido a médicos, y hace uso del sistema de validación de la plataforma Navandú. Si aún no dispone de usuario es necesario proceder previamente a su registro.
Para cualquier consulta puede dirigirse al Centro de Atención Navandú.
Para iniciar sesión y registrarse en Neurorecordings, le vamos a redirigir a la plataforma de validación profesional de Navandu.
AVISO
Está saliendo del sitio web de Neurorecordings. Este enlace le llevará a un sitio web en el que no se aplica nuestra Política de Privacidad. Usted es el único responsable de sus interacciones con ese sitio web.
