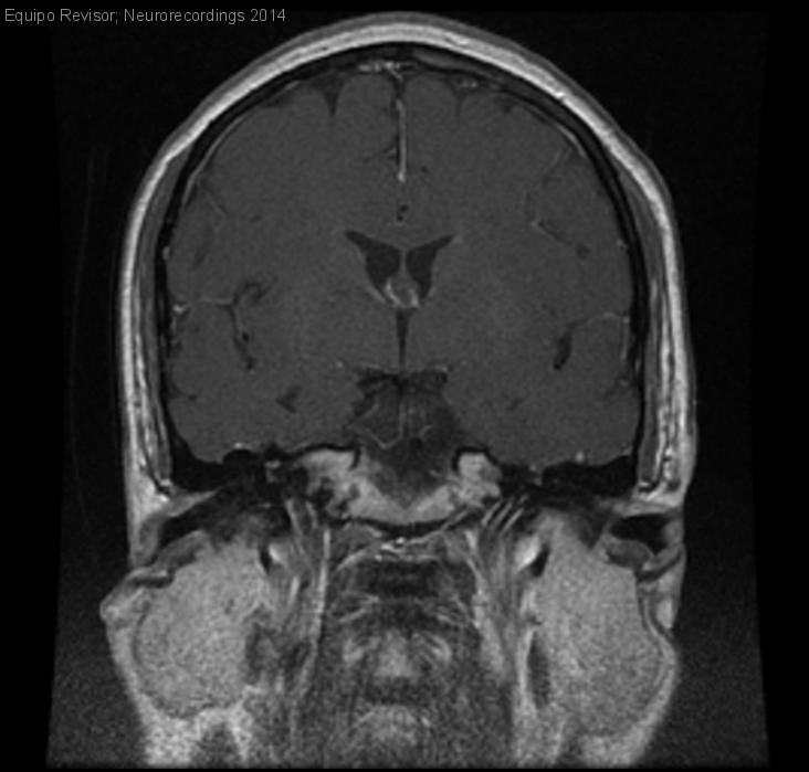
Meningioma del Seno Cavernoso

Meningioma del Seno Cavernoso

Mujer | 39 años
Diagnóstico final: Meningioma
Nivel de certeza:
Neurología: Cefalea
Etiología: Neoplasias
Equipo Revisor
Maria Dolores Torrecillas
06-Feb-2014

Resumen del caso

Consulta por tres meses presenta dolor constante, con unas 4-5 exacerbaciones al día, en ramas II y III del trigémino derecho, que empeora al comer pero no al hablar. Se inicia Gabapentina y tras...

Para ver el contenido completo debe estar registrado

Haga click aquí para iniciar sesión o registrarse

El acceso a Neurorecordings está restringido a médicos, y hace uso del sistema de validación de la plataforma Navandú. Si aún no dispone de usuario es necesario proceder previamente a su registro.

Para cualquier consulta puede dirigirse al Centro de Atención Navandú.

Para iniciar sesión y registrarse en Neurorecordings, le vamos a redirigir a la plataforma de validación profesional de Navandu.

AVISO
Está saliendo del sitio web de Neurorecordings. Este enlace le llevará a un sitio web en el que no se aplica nuestra Política de Privacidad. Usted es el único responsable de sus interacciones con ese sitio web.