Infarto talámico de la arteria de Percherón

Infarto talámico de la arteria de Percherón

Mujer | 56 años
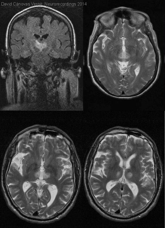
Diagnóstico final: Infarto talámico paramedial bilateral
Nivel de certeza:
Neurología: Patología cerebrovascular
Etiología: Ictus
David Cánovas Vergé - Hospital De Sabadell
02-Apr-2014

Resumen del caso

-Ramas perforantes talámicas (o talámicas paramedianas) : Irrigan las partes inferior medial y anterior del tálamo. Mujer de 56 años con antecedentes de HTA y fibrilación auricular no diagnosticada que es taifa a urgencias...

Para ver el contenido completo debe estar registrado

Haga click aquí para iniciar sesión o registrarse

El acceso a Neurorecordings está restringido a médicos, y hace uso del sistema de validación de la plataforma Navandú. Si aún no dispone de usuario es necesario proceder previamente a su registro.

Para cualquier consulta puede dirigirse al Centro de Atención Navandú.

Para iniciar sesión y registrarse en Neurorecordings, le vamos a redirigir a la plataforma de validación profesional de Navandu.

AVISO
Está saliendo del sitio web de Neurorecordings. Este enlace le llevará a un sitio web en el que no se aplica nuestra Política de Privacidad. Usted es el único responsable de sus interacciones con ese sitio web.