Ictus cerebeloso en paciente jóven
Ictus cerebeloso en paciente jóven
Hombre | 28 años
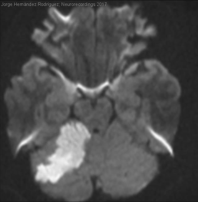
Diagnóstico final: Ictus cerebeloso derecho en paciente jóven. Foramen oval permeable.
Nivel de certeza: 




Neurología: Patología cerebrovascular
Etiología: Ictus
Jorge Hernández Rodríguez - Complejo Asistencial Universitario De León
03-Mar-2018
Resumen del caso
Varón de 28 años de edad, diestro, trasladado desde el Servicio de Neurocirugía con el diagnóstico de infarto cerebeloso derecho.
A.P: Fumador de 20 cigarillos/ día. Intervenido de sinus pilonidal el día 10/08/17.
M.I: Tres días después...
Para ver el contenido completo debe estar registrado
Haga click aquí para iniciar sesión o registrarse

El acceso a Neurorecordings está restringido a médicos, y hace uso del sistema de validación de la plataforma Navandú. Si aún no dispone de usuario es necesario proceder previamente a su registro.
Para cualquier consulta puede dirigirse al Centro de Atención Navandú.
Para iniciar sesión y registrarse en Neurorecordings, le vamos a redirigir a la plataforma de validación profesional de Navandu.
AVISO
Está saliendo del sitio web de Neurorecordings. Este enlace le llevará a un sitio web en el que no se aplica nuestra Política de Privacidad. Usted es el único responsable de sus interacciones con ese sitio web.
