Hidrocefalia triventricular crónica adquirida
Hidrocefalia triventricular crónica adquirida
Hombre | 48 años
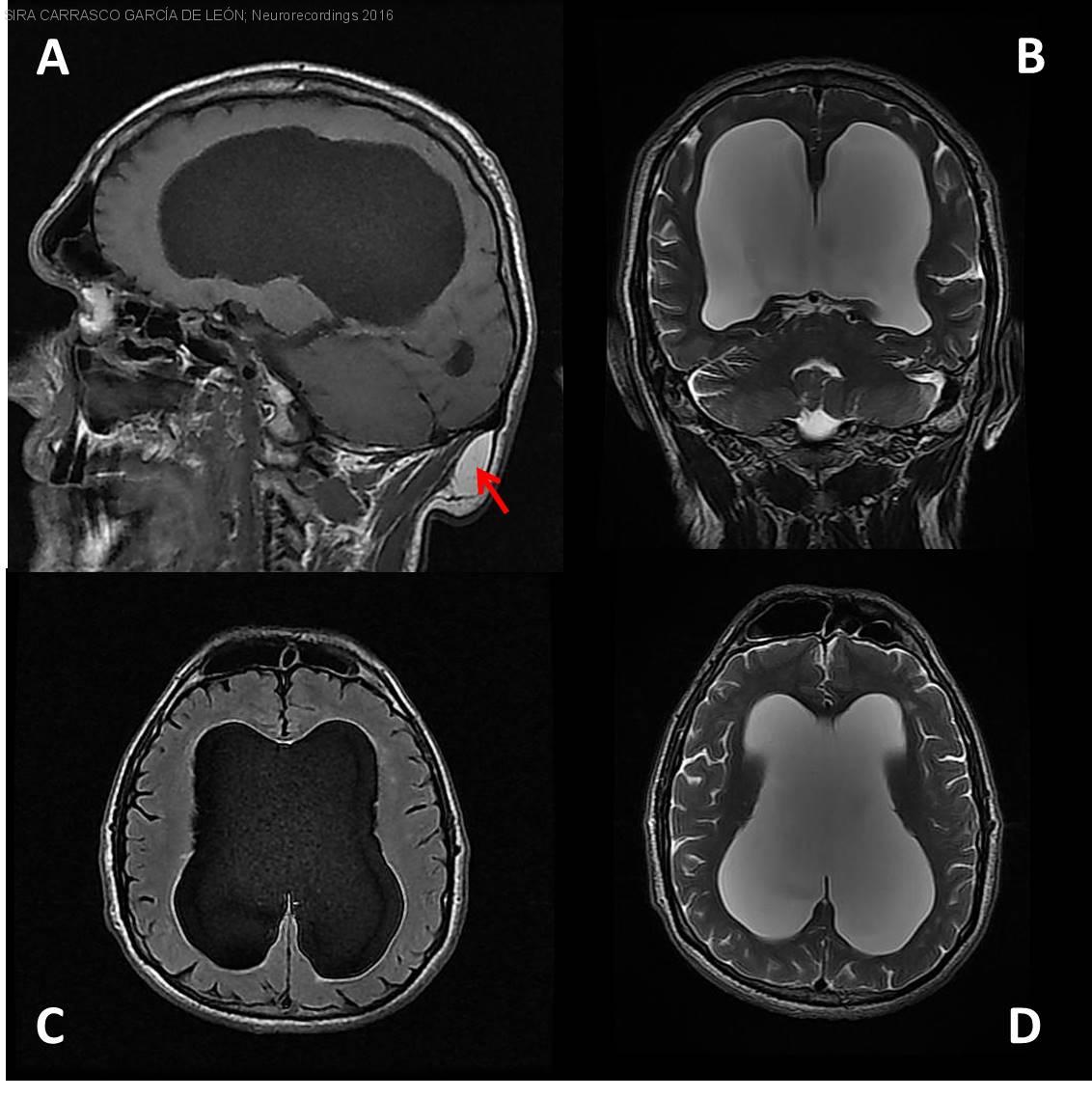
Diagnóstico final: Hidrocefalia triventricular crónica adquirida. Lipoma Subgaleal occipital
Nivel de certeza: 




Neurología: Infecciosas
Etiología: Miscelánea | Infecciosas / inflamatoria / desmielinizante
SIRA CARRASCO GARCÍA DE LEÓN - Hospital General De Ciudad Real
19-May-2016
Resumen del caso
Varón de 48 años con antecedente de meningitis en la infancia. Remitido desde Atención Primaria para valoración de temblor en las manos desde hacía años.
En la exploración destacaba: papiledema crónico en el examen del fondo...
Para ver el contenido completo debe estar registrado
Haga click aquí para iniciar sesión o registrarse

El acceso a Neurorecordings está restringido a médicos, y hace uso del sistema de validación de la plataforma Navandú. Si aún no dispone de usuario es necesario proceder previamente a su registro.
Para cualquier consulta puede dirigirse al Centro de Atención Navandú.
Para iniciar sesión y registrarse en Neurorecordings, le vamos a redirigir a la plataforma de validación profesional de Navandu.
AVISO
Está saliendo del sitio web de Neurorecordings. Este enlace le llevará a un sitio web en el que no se aplica nuestra Política de Privacidad. Usted es el único responsable de sus interacciones con ese sitio web.
