Hemicorea de inicio agudo. ¿Quién es el culpable?

Hemicorea de inicio agudo. ¿Quién es el culpable?

Mujer | 91 años
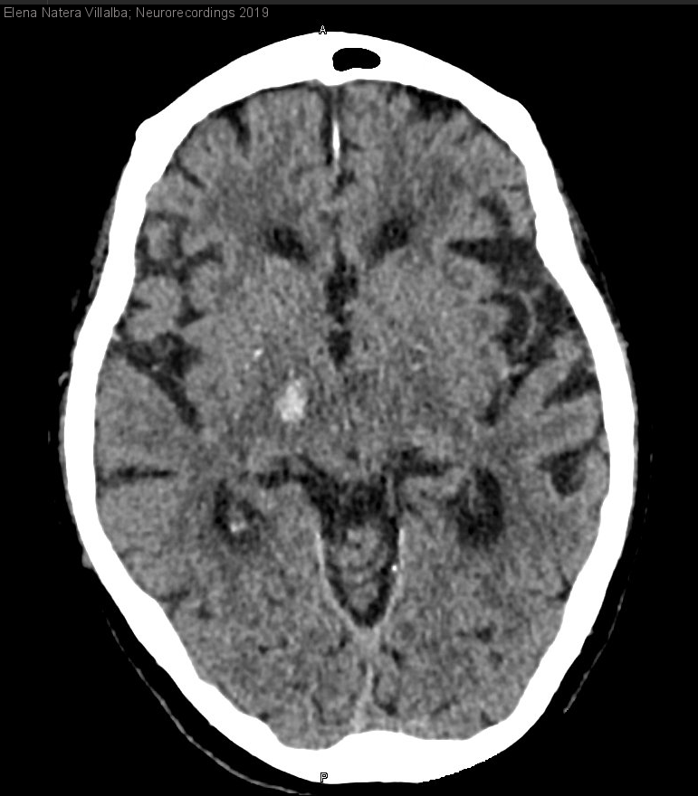
Diagnóstico final: Hemicorea izquierdo de inicio agudo secundaria a hematoma talámico derecho de probable etiología hipertensiva
Nivel de certeza:
Neurología: Patología cerebrovascular | Trastornos del movimiento
Etiología: Ictus
Elena Natera Villalba - Hospital Universitario Ramón Y Cajal
Enric Monreal Laguillo
02-Oct-2019

Resumen del caso

Mujer de 91 años hipertensa, dislipémica, independiente y sin deterioro cognitivo, en tratamiento con ácido acetilsalicílico (prevención primaria), que acudió a Urgencias por un cuadro de 24 horas de evolución de sensación de descoordinación en extremidades...


Para ver el contenido completo debe estar registrado

Haga click aquí para iniciar sesión o registrarse

El acceso a Neurorecordings está restringido a médicos, y hace uso del sistema de validación de la plataforma Navandú. Si aún no dispone de usuario es necesario proceder previamente a su registro.

Para cualquier consulta puede dirigirse al Centro de Atención Navandú.

Para iniciar sesión y registrarse en Neurorecordings, le vamos a redirigir a la plataforma de validación profesional de Navandu.

AVISO
Está saliendo del sitio web de Neurorecordings. Este enlace le llevará a un sitio web en el que no se aplica nuestra Política de Privacidad. Usted es el único responsable de sus interacciones con ese sitio web.