ESTADO DE MAL EPILÉPTICO EN PACIENTE CON UNA MASA A NIVEL EPICRANEAL FRONTAL
ESTADO DE MAL EPILÉPTICO EN PACIENTE CON UNA MASA A NIVEL EPICRANEAL FRONTAL
Hombre | 61 años
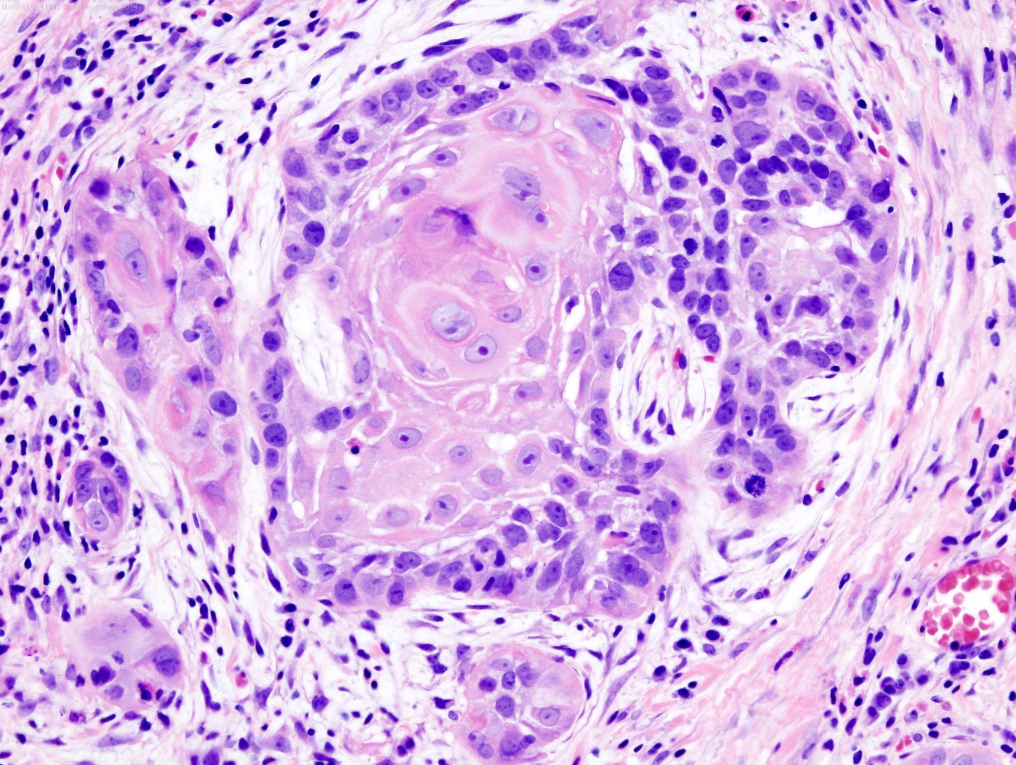
Diagnóstico final: PRIMER CASO DESCRITO DE ESTADO DE MAL EPILÉPTICO SECUNDARIO A METASTATIZACIÓN CRÁNEO-CEREBRAL COMO FORMA DE DEBUT DE UN CARCINOMA EPIDERMOIDE LARÍNGEO SUPRAGLÓTICO
Nivel de certeza: 




Neurología: Neurooncología
Etiología: Neoplasias
Moisés León Ruiz - Hospital Universitario Príncipe De Asturias
Miguel Ángel García Soldevilla
26-May-2014
Resumen del caso
Para ver el contenido completo debe estar registrado
Haga click aquí para iniciar sesión o registrarse

El acceso a Neurorecordings está restringido a médicos, y hace uso del sistema de validación de la plataforma Navandú. Si aún no dispone de usuario es necesario proceder previamente a su registro.
Para cualquier consulta puede dirigirse al Centro de Atención Navandú.
Para iniciar sesión y registrarse en Neurorecordings, le vamos a redirigir a la plataforma de validación profesional de Navandu.
AVISO
Está saliendo del sitio web de Neurorecordings. Este enlace le llevará a un sitio web en el que no se aplica nuestra Política de Privacidad. Usted es el único responsable de sus interacciones con ese sitio web.
