Endocarditis por Streptococcus Gallolyticus e ictus isquémico; ¿fibrinolisable?
Endocarditis por Streptococcus Gallolyticus e ictus isquémico; ¿fibrinolisable?
Hombre | 66 años
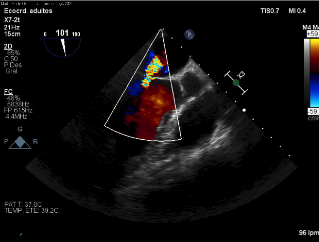
Diagnóstico final: Ictus isquémico cardioembólico debido a endocarditis infecciosa. Hemorragia postfibrinolisis
Nivel de certeza: 




Neurología: Patología cerebrovascular
Etiología: Ictus
Marta Marín Gracia - Hospital Santa Bárbara
Maria Pilar Navarro Pérez
05-Aug-2020
Resumen del caso
Varón, 66 años con disartria moderada, facial y hemiparesia derecha 3/5 e hipoestesia (NIHSS 7) de 40 min de evolución. Se inició tratamiento fibrinolítico (1h desde inicio de los síntomas). NIHSS 1 a los 15 min. Al finalizar la perfusión...
Para ver el contenido completo debe estar registrado
Haga click aquí para iniciar sesión o registrarse

El acceso a Neurorecordings está restringido a médicos, y hace uso del sistema de validación de la plataforma Navandú. Si aún no dispone de usuario es necesario proceder previamente a su registro.
Para cualquier consulta puede dirigirse al Centro de Atención Navandú.
Para iniciar sesión y registrarse en Neurorecordings, le vamos a redirigir a la plataforma de validación profesional de Navandu.
AVISO
Está saliendo del sitio web de Neurorecordings. Este enlace le llevará a un sitio web en el que no se aplica nuestra Política de Privacidad. Usted es el único responsable de sus interacciones con ese sitio web.
