Encefalopatía inducida por contraste tras procedimiento endovascular
Encefalopatía inducida por contraste tras procedimiento endovascular
Mujer | 44 años
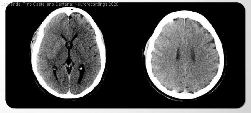
Diagnóstico final: Encefalopatía inducida por contraste
Nivel de certeza: 




Neurología: Patología cerebrovascular
Etiología: Tóxica-yatrogenia
Jenifer del Pino Castellano Santana - Hospital Universitario Insular De Gran Canaria
Idaira Martín Santana
07-Mar-2021
Resumen del caso
Mujer de 44 años sin antecedentes de interés que desde hace 3 semanas presenta cefalea intensa hemicraneal derecha con edema periocular ipsilateral y visión doble. En la exploración neurológica destaca quemosis y proptosis ocular derecha con limitación para abducción,...
Para ver el contenido completo debe estar registrado
Haga click aquí para iniciar sesión o registrarse

El acceso a Neurorecordings está restringido a médicos, y hace uso del sistema de validación de la plataforma Navandú. Si aún no dispone de usuario es necesario proceder previamente a su registro.
Para cualquier consulta puede dirigirse al Centro de Atención Navandú.
Para iniciar sesión y registrarse en Neurorecordings, le vamos a redirigir a la plataforma de validación profesional de Navandu.
AVISO
Está saliendo del sitio web de Neurorecordings. Este enlace le llevará a un sitio web en el que no se aplica nuestra Política de Privacidad. Usted es el único responsable de sus interacciones con ese sitio web.
