Encefalomielitis asociada a anticuerpos anti-MOG, una entidad poco conocida.
Encefalomielitis asociada a anticuerpos anti-MOG, una entidad poco conocida.
Mujer | 33 años
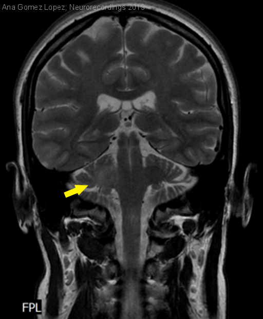
Diagnóstico final: Encefalitis de tronco asociada a anticuerpos anti-MOG
Nivel de certeza: 




Neurología: Enfermedades desmielinizantes
Etiología: Autoinmune / sistémico | Infecciosas / inflamatoria / desmielinizante
Ana Gomez Lopez - Hospital Universitario Ramón Y Cajal
Susana Sainz de la Maza Cantero
25-Feb-2020
Resumen del caso
Mujer de 33 años, con antecedente de meningitis linfocitaria aséptica en 2010, y de episodio de diplopía de una semana de duración en 2016 por el cual fue estudiada en otro centro con EMG y...
Para ver el contenido completo debe estar registrado
Haga click aquí para iniciar sesión o registrarse

El acceso a Neurorecordings está restringido a médicos, y hace uso del sistema de validación de la plataforma Navandú. Si aún no dispone de usuario es necesario proceder previamente a su registro.
Para cualquier consulta puede dirigirse al Centro de Atención Navandú.
Para iniciar sesión y registrarse en Neurorecordings, le vamos a redirigir a la plataforma de validación profesional de Navandu.
AVISO
Está saliendo del sitio web de Neurorecordings. Este enlace le llevará a un sitio web en el que no se aplica nuestra Política de Privacidad. Usted es el único responsable de sus interacciones con ese sitio web.
