Efecto de Valsalva: fístula de líquido cefalorraquídeo de origen tusígeno
Efecto de Valsalva: fístula de líquido cefalorraquídeo de origen tusígeno
Mujer | 61 años
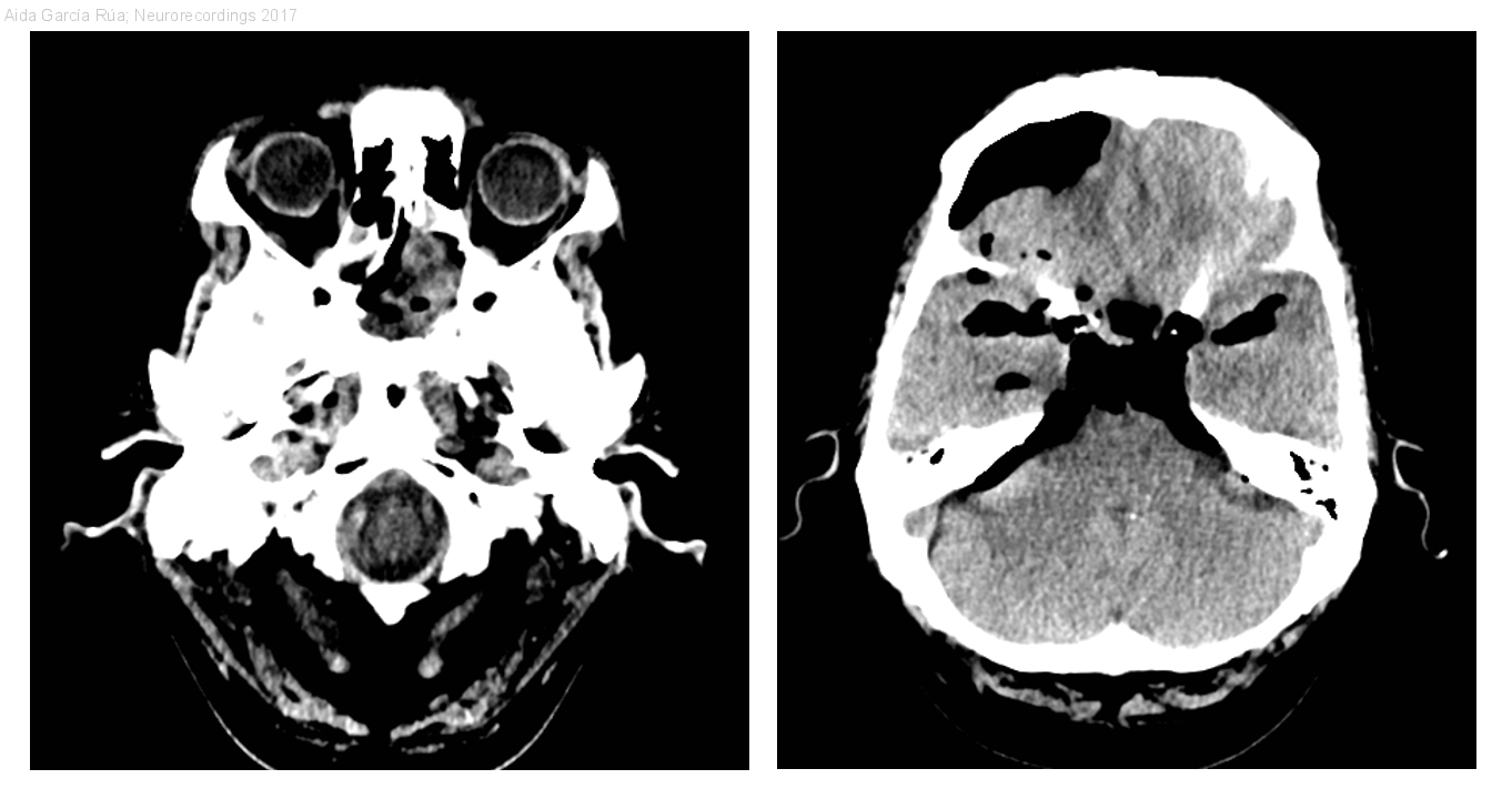
Diagnóstico final: Neumoencéfalo secundario a fístula de líquido cefalorraquídeo espontánea
Nivel de certeza: 




Neurología: Cefalea
Etiología: Miscelánea
Aida García Rúa - Hospital Universitario Central de Asturias
Pablo Sánchez Lozano
22-Oct-2017
Resumen del caso
Cuadro catarral con tos persistente de varios días de evolución, complicado con cefalea holocraneal progresiva y finalmente deterioro del nivel de conciencia. A la exploración encontramos una paciente afebril, tendente al sueño y desorientada, sin...
Para ver el contenido completo debe estar registrado
Haga click aquí para iniciar sesión o registrarse

El acceso a Neurorecordings está restringido a médicos, y hace uso del sistema de validación de la plataforma Navandú. Si aún no dispone de usuario es necesario proceder previamente a su registro.
Para cualquier consulta puede dirigirse al Centro de Atención Navandú.
Para iniciar sesión y registrarse en Neurorecordings, le vamos a redirigir a la plataforma de validación profesional de Navandu.
AVISO
Está saliendo del sitio web de Neurorecordings. Este enlace le llevará a un sitio web en el que no se aplica nuestra Política de Privacidad. Usted es el único responsable de sus interacciones con ese sitio web.
