Discinesias paroxísticas tras cobaltoterapia
Discinesias paroxísticas tras cobaltoterapia
Hombre | 43 años
Diagnóstico final: Discinesias paroxísticas no cinesogénicas sintomáticas
Nivel de certeza: 




Neurología: Trastornos del movimiento
Etiología: Tóxica-yatrogenia
Almudena Layos Romero - Hospital General De Albacete
Amanda Álvarez Noval
07-Mar-2021
Resumen del caso
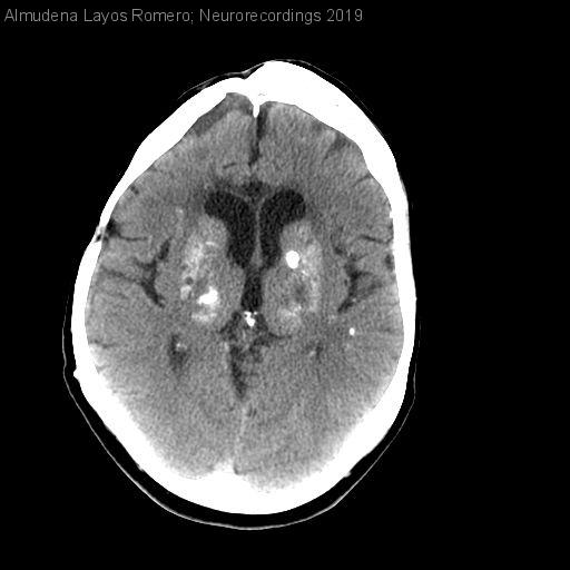
Varón de 43 años con antecedentes de craneofaringioma intervenido en 1985 y tratamiento adyuvante con cobaltoterapia. Poco después desarrolló una disartria, hemiparesia izquierda y distonía generalizada con movimientos coreiformes con la distracción. Recientemente tiene episodios de...
Para ver el contenido completo debe estar registrado
Haga click aquí para iniciar sesión o registrarse

El acceso a Neurorecordings está restringido a médicos, y hace uso del sistema de validación de la plataforma Navandú. Si aún no dispone de usuario es necesario proceder previamente a su registro.
Para cualquier consulta puede dirigirse al Centro de Atención Navandú.
Para iniciar sesión y registrarse en Neurorecordings, le vamos a redirigir a la plataforma de validación profesional de Navandu.
AVISO
Está saliendo del sitio web de Neurorecordings. Este enlace le llevará a un sitio web en el que no se aplica nuestra Política de Privacidad. Usted es el único responsable de sus interacciones con ese sitio web.
