Cefalea por Hipotensión del LCR

Cefalea por Hipotensión del LCR

Hombre | 45 años
Diagnóstico final: Hipotensión intracraneal
Nivel de certeza:
Neurología: Cefalea
Etiología: Otros
Ana Echavarría Íñiguez - Hospital Universitario de Burgos
Laura Aguado García
17-Jul-2020

Resumen del caso

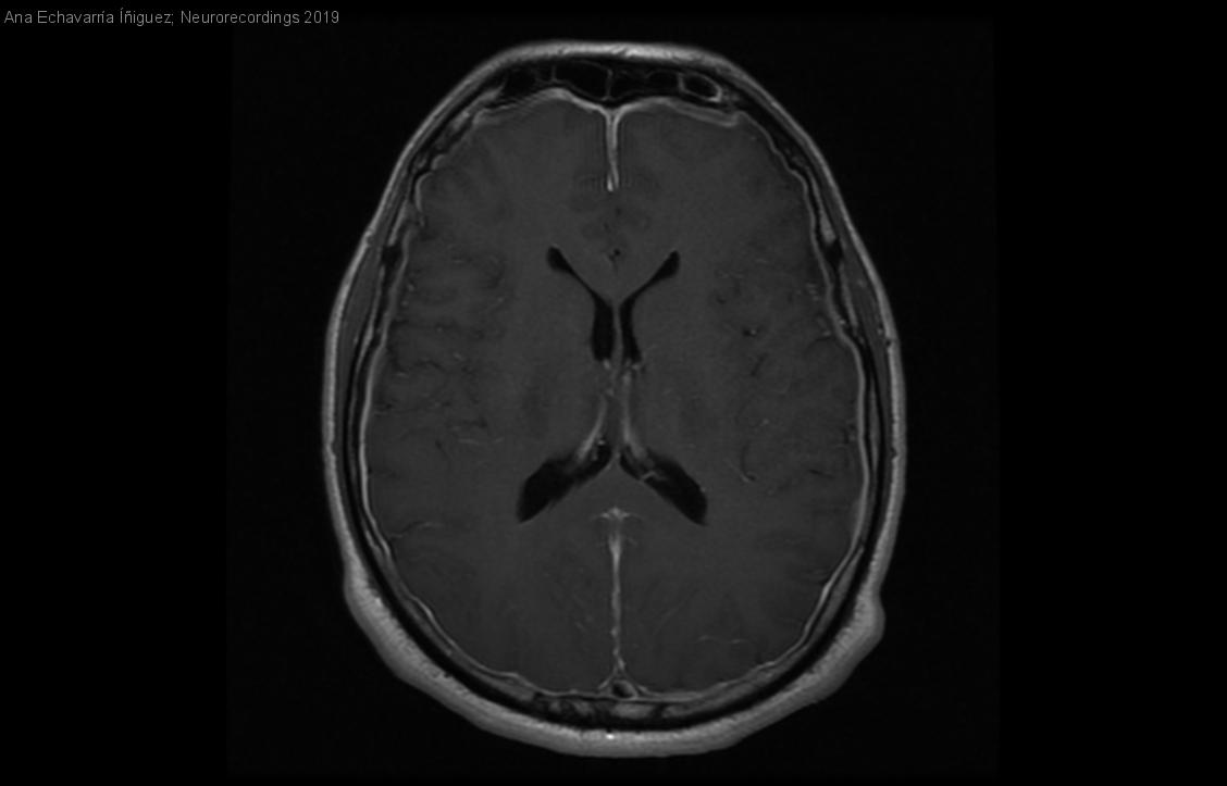
Varón de 45 años sin antecedentes previos de interés que ingresa para estudio de cefalea occipital progresiva y paresia de VI par craneal izquierdo. La cefalea aparece al poco tiempo de iniciar la bipedestación y...


Para ver el contenido completo debe estar registrado

Haga click aquí para iniciar sesión o registrarse

El acceso a Neurorecordings está restringido a médicos, y hace uso del sistema de validación de la plataforma Navandú. Si aún no dispone de usuario es necesario proceder previamente a su registro.

Para cualquier consulta puede dirigirse al Centro de Atención Navandú.

Para iniciar sesión y registrarse en Neurorecordings, le vamos a redirigir a la plataforma de validación profesional de Navandu.

AVISO
Está saliendo del sitio web de Neurorecordings. Este enlace le llevará a un sitio web en el que no se aplica nuestra Política de Privacidad. Usted es el único responsable de sus interacciones con ese sitio web.