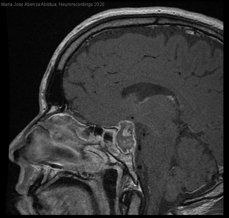
Apoplejía hipofisaria
Apoplejía hipofisaria
Hombre | 47 años
Diagnóstico final: Apoplejía hipofisaria
Nivel de certeza: 




Neurología: Neurooncología
Etiología: Neoplasias
Maria Jose Abenza Abildua - Hospital Universitario Infanta Sofía
Carlos Pérez López
08-Dec-2020
Resumen del caso
Varón de 47 años, sin antecedentes, que acude a Urgencias por cefalea brusca frontal opresiva de 36 horas de evolución, de inicio nocturno, con naúseas, vómitos, foto y sonofobia, se irradia hacia región temporal bilateral, sin...
Para ver el contenido completo debe estar registrado
Haga click aquí para iniciar sesión o registrarse

El acceso a Neurorecordings está restringido a médicos, y hace uso del sistema de validación de la plataforma Navandú. Si aún no dispone de usuario es necesario proceder previamente a su registro.
Para cualquier consulta puede dirigirse al Centro de Atención Navandú.
Para iniciar sesión y registrarse en Neurorecordings, le vamos a redirigir a la plataforma de validación profesional de Navandu.
AVISO
Está saliendo del sitio web de Neurorecordings. Este enlace le llevará a un sitio web en el que no se aplica nuestra Política de Privacidad. Usted es el único responsable de sus interacciones con ese sitio web.
